Escoliosis Neuromuscular
Neuromuscular implica que hay algún tipo de problema con los músculos que sostienen a la columna. Algunas veces el cuerpo no tiene la fuerza suficiente para sostener a la columna y la gravedad hace que se curve la espina. Otras veces el cuerpo tira de diferentes lados de la columna en forma dispareja. Los niños con escoliosis neuromuscular, normalmente tienen problemas con otros grupos musculares y se les dificulta caminar o simplemente no pueden.
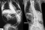
La causa más común es la parálisis cerebral –un síndrome causado por una lesión cerebral durante los dos primeros años de vida. Los niños a menudo no pueden caminar y tienen algún retraso en su desarrollo. Algunas formas son muy leves, mientras que otras afectan a todas las extremidades.
La escoliosis ocurre aproximadamente en el 50% de los niños con parálisis cerebral.
![]() |
| Fuente: Illinois Spine & Soliosis Center |
Otras causas son lesiones o síndromes que afectan a la médula espinal. La espina bífida (un fallo de las partes óseas de la columna para formarse adecuadamente en torno a los nervios) puede no causar anormalidades o parálisis en las piernas. Cuanto más alta sea la lesión, hay una mayor probabilidad de que se produzca una escoliosis. Similarmente las lesiones de arma de fuego o las lesiones severas en la espina durante el crecimiento pueden causar parálisis y escoliosis.
Otras causas son lesiones o síndromes que afectan a la médula espinal. La espina bífida (un fallo de las partes óseas de la columna para formarse adecuadamente en torno a los nervios) puede no causar anormalidades o parálisis en las piernas. Cuanto más alta sea la lesión, hay una mayor probabilidad de que se produzca una escoliosis. Similarmente las lesiones de arma de fuego o las lesiones severas en la espina durante el crecimiento pueden causar parálisis y escoliosis.
Diagnóstico
Los retrasos en el desarrollo generalmente son detectados a una edad temprana en evaluaciones rutinarias con el pediatra. Los especialistas de columna deben involucrarse cuando cuan la espina empieza a curvarse mucho. Esto puede causar que se tuerzan las caderas
Tratamiento
Observaciones:
Para curvas más pequeñas (menos de 20 grados), por lo general observamos a los pacientes con radiografías de escoliosis cada seis meses.
Aparatos Correctores:
Puesto que este tipo de escoliosis ocurre típicamente en una edad temprana, los aparatos correctores y/o las modificaciones en una silla de ruedas son muy comunes en curvas de más de 30 grados.
Cirugía:
La cirugía es recomendada generalmente en curvas de más de 45 grados. Sin embargo como este tipo de escoliosis ocurre temprano en la vida, tratamos de ayudar a los niños de manera que crezcan lo más posible antes de estabilizar la columna. Si la curva crece muy rápido o se vuelve rígida, puede ser necesaria la cirugía.
Los objetivos de la cirugía son:
Prevenir que la curva crezca más.
Mantener la pelvis nivelada y perpendicular a la columna (en niños que no pueden caminar).
También puede interesarte:
Volver a la página de Inicio




.png)




No hay comentarios.:
Publicar un comentario